Porcelain Veneers
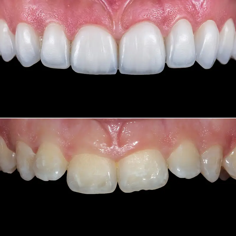
Porcelain veneers have revolutionized cosmetic dentistry by offering a versatile and effective solution for enhancing smiles. These thin shells of dental porcelain are custom-made to fit over the front surface of the teeth, providing a natural-looking and durable option for addressing various esthetic concerns.

One of the primary benefits of porcelain veneers is their ability to improve the appearance of teeth in multiple ways.
They can effectively correct issues such as:
- Discoloration: Veneers can cover stains and discoloration that may not respond well to traditional whitening treatments, giving teeth a brighter and more uniform appearance.
- Chips and Cracks: Veneers can conceal small chips and cracks, restoring the overall symmetry and smoothness of the smile.
- Gaps and Spaces: Veneers can close gaps between teeth, creating a more even and harmonious smile without the need for orthodontic treatment.
- Misalignment: While not a replacement for orthodontic treatment in cases of severe misalignment, veneers can provide a quick fix for minor alignment issues, improving the appearance of crooked or unevenly spaced teeth.
- Shape and Size: Veneers can reshape and resize teeth, creating a more balanced and proportionate smile that complements the natural facial features.
The process of getting porcelain veneers typically involves a few appointments. During the initial consultation, Dr. Homayoon or Dr. Van Winkle will assess your oral health and discuss their esthetic goals. The teeth are then prepared by removing a small amount of enamel to accommodate the veneers. Impressions of the teeth are taken and sent to a dental laboratory where the veneers are custom-fabricated to Dr. Homayoon or Dr. Van Winkle’s specifications. Once ready, the veneers are bonding to the teeth using a strong dental adhesive, resulting in a durable and long-lasting restoration.
Porcelain veneers are highly resistant to stains and can last for many years with proper care, making them a popular choice for patients looking to transform their smiles permanently. With their natural appearance and ability to address a wide range of cosmetic concerns, porcelain veneers continue to be a valuable tool in modern dentistry for achieving beautiful and confident smiles.
FAQ’s Dental Veneers
What are dental veneers?
Dental veneers are thin, custom-made shells of tooth-colored porcelain or composite resin that are bonded to the front surface of teeth to improve their appearance.
What problems can dental veneers address?
Dental veneers can be used to correct various cosmetic issues such as stained or discolored teeth, chipped or worn teeth, misaligned or uneven teeth, gaps between teeth, and irregularly shaped teeth.
Are dental veneers permanent?
Yes, dental veneers are considered a permanent cosmetic dental treatment. The process involves removing a small amount of enamel from the teeth, which is irreversible. However, veneers may need to be replaced over time due to normal wear and tear or damage.
How long do dental veneers last?
With proper care and maintenance, dental veneers can last for many years, typically ranging from 10 to 15 years or more. However, their lifespan can vary depending on factors such as oral hygiene practices, habits like teeth grinding or clenching, and the quality of the materials used.
Does getting dental veneers hurt?
The process of getting dental veneers is usually not painful because it is performed under local anesthesia to numb the teeth and surrounding tissues.
Can dental veneers stain or discolor?
Porcelain veneers are resistant to stains from food and beverages compared to natural tooth enamel. However, over time, they may still become stained or discolored, especially if exposed to highly pigmented substances like coffee, tea, or tobacco. Composite resin veneers may be more prone to staining and may require polishing or replacement.
How do I care for dental veneers?
Proper care and maintenance are essential for preserving the longevity and appearance of dental veneers. This includes practicing good oral hygiene habits such as brushing twice a day, flossing daily, and visiting South Shore Dental Arts for regular check-ups and cleanings. Avoid biting or chewing on hard objects and refrain from habits like nail-biting or using teeth to open packages, as these can damage the veneers.
Are dental veneers covered by insurance?
In most cases, dental veneers are considered a cosmetic procedure and may not be covered by dental insurance. However, if the veneers are being used to restore damaged teeth or address functional issues, some portion of the cost may be covered. It’s best to check with your insurance provider to understand your coverage options.
Can anyone get dental veneers?
While dental veneers are a versatile cosmetic treatment, not everyone is a suitable candidate. Dr. Homayoon or Dr. Van Winkle will assess your oral health and discuss your goals for treatment to determine if veneers are the right option for you. In some cases, alternative treatments or procedures may be recommended.
How much do dental veneers cost?
The cost of dental veneers can vary depending on factors such as the number of veneers needed, the materials used, the complexity of the case, and the geographic location of the dental practice. Generally, porcelain veneers tend to be more expensive than composite resin veneers. It’s best to consult with Dr. Homayoon or Dr. Van Winkle for an accurate cost estimate based on your individual needs and circumstances.
Can dental veneers fix crooked teeth?
While veneers can improve the appearance of slightly misaligned teeth, they are not a solution for significant orthodontic issues. In cases of moderate to severe misalignment, orthodontic treatment such as braces or clear aligners may be recommended to achieve the desired results.
How many veneers do I need?
The number of veneers needed depends on factors such as your esthetic goals, the condition of your teeth, and financial considerations. Veneers can be placed on individual teeth or multiple teeth to achieve the desired result, and Dr. Homayoon or Dr. Van Winkle will work with the you to develop a treatment plan that meets your needs.
We Can Help...
Add testimonial description here. Add testimonial description here. Add testimonial description here.
John Doe
Bayport
Add testimonial description here. Add testimonial description here. Add testimonial description here.
John Doe
Bayport
Add testimonial description here. Add testimonial description here. Add testimonial description here.
John Doe
Bayport
Add testimonial description here. Add testimonial description here. Add testimonial description here.
John Doe
Bayport